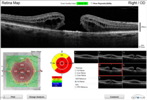
OCT image showing a macular hole